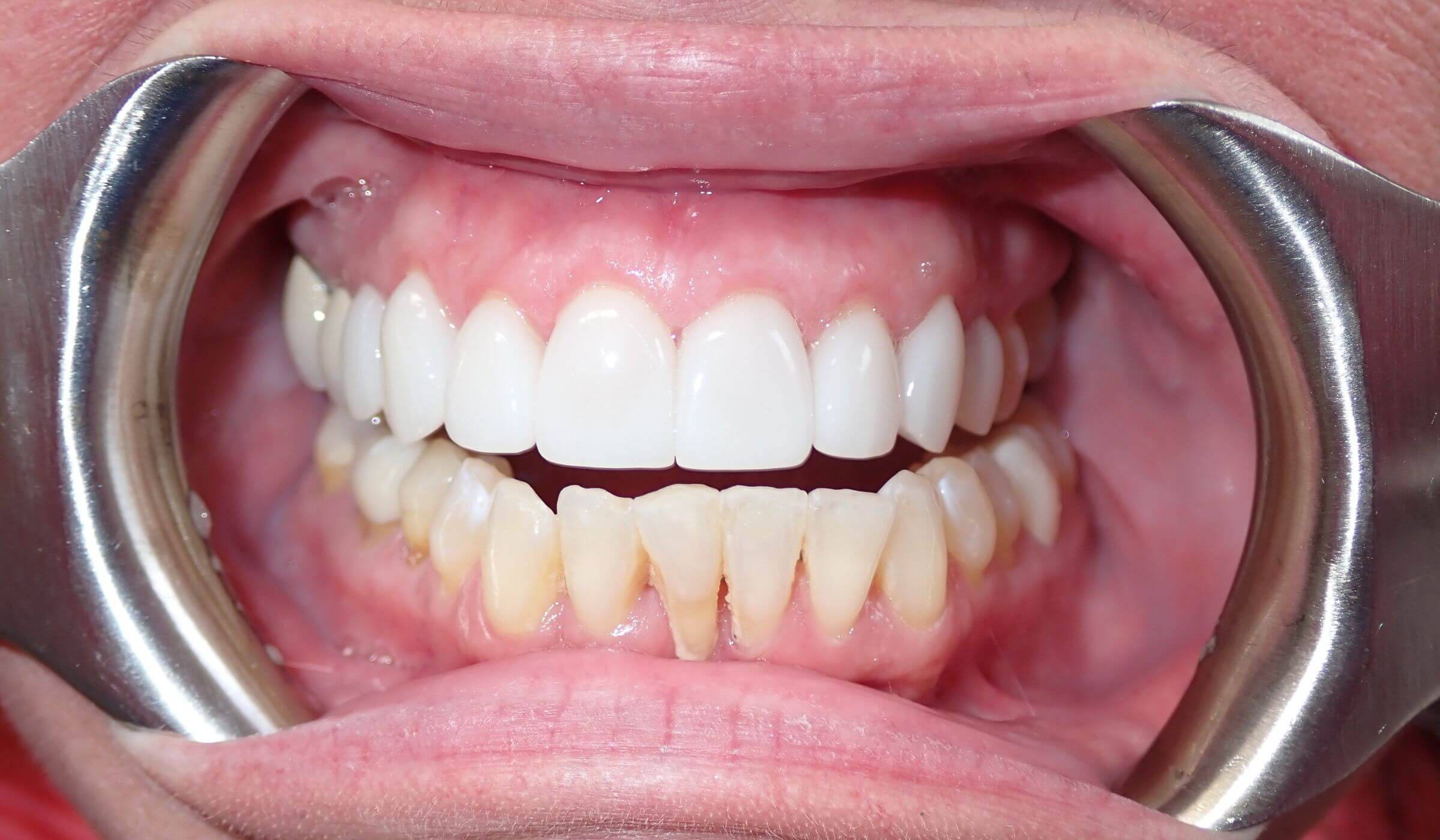
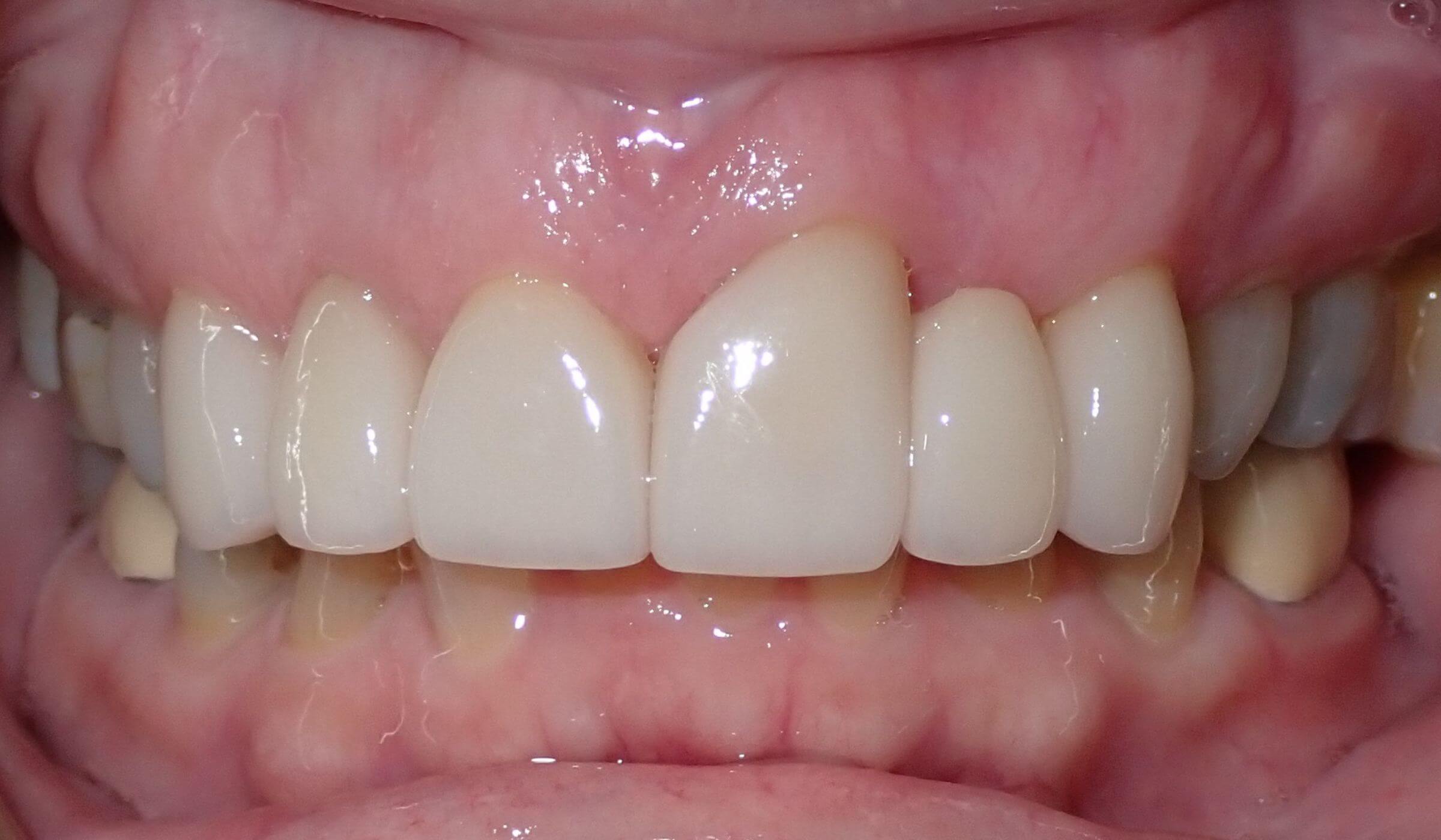
At Designer Smiles, Dr. Jeff Harrie and his team are passionate about helping patients achieve healthy, confident smiles. Our Smile Gallery showcases real patient transformations — before-and-after results that highlight the power of expert dental care. Whether you’re looking for a small cosmetic enhancement or a complete smile makeover, we’re here to create a treatment plan tailored just for you.
Smile Transformations at Designer Smiles
From professional whitening and veneers to dental implants and full-mouth restorations, we use the latest technology and techniques to deliver natural-looking, long-lasting results. Every smile in this gallery tells a story—one of renewed confidence, better oral health, and a reason to smile even more.
Take a look at our Smile Gallery to see how Dr. Harrie and the team have helped patients achieve life-changing results! If you have questions or want to inquire about a consultation please contact us!





