GENERAL DENTISTRY
Maintain Dental Health In Fargo With Good Dental Hygiene
Choosing a dentist is an important personal decision. We understand how crucial it is to have a caring, compassionate dentist that you can trust. Your dentist plays a major role in the health of your smile and how it fundamentally affects the quality of your life.
Dental Health – It’s About Trust
At Designer Smiles, we make it a priority to earn and keep your trust from your very first appointment. We strive to offer an advanced level of expertise, diverse range of services, and focalized personal attention. Whether it’s creating your perfect smile or keeping your teeth healthy for a lifetime, we are here to help you and your family develop a customized dental hygiene and maintenance plan to meet your dental goals.
All Things Smiles
Dental health and bright smiles in Fargo, NDSome of the exceptional services we provide include:
- Dental Exams
- Teeth Cleanings
- Sedation Dentistry
- Cosmetic Dentistry
- Fillings
- Porcelain Veneers
- Dental Implants
- Sealants
- Teeth Whitening
- Dental Crowns
- Dentures
- General Dentistry
- Gum Disease Treatment
- TMJ / TMD Treatments
- Emergency Dentistry
- Laser Dentistry
We work hard to establish a comfortable and relaxing atmosphere at our Fargo dentist office location. Our staff will make sure that your appointment is as stress-free as possible. Our Fargo dentists and hygienists are committed to giving you a happy, healthy smile. Their passion for dentistry is evident in their caring concern for each patient’s dental health. They will work with you to ensure that your smile goals are met.
Designing Healthy Smiles
It can be helpful to have refreshers on effective dental hygiene routines at home. Our team has put together some educational videos on proper tooth brushing, whether you’re using traditional or electric toothbrushes. This video can help you determine which toothbrush is right for you!
CariVu Detection Device
Although brushing and flossing are a key way to prevent serious dental issues, we want to help you however we can. Early detection of cavities and other dental issues means early treatment. We love using the CariVu detection device here at Designer Smiles!
This amazing piece of technology allows us to spot hard-to-find cracks, lesions, and cavities by means of transillumination. When we shine the CariVu light onto your teeth, healthy enamel appears as transparent in the images taken, whereas damaged areas—which are often more porous—have an entirely different texture.
This scanner is not only extremely effective at early detection of dental problems, but it is also proven to be safe for all ages. Even those who traditionally have difficulty with x-rays can comfortably receive CariVu diagnostic scans.


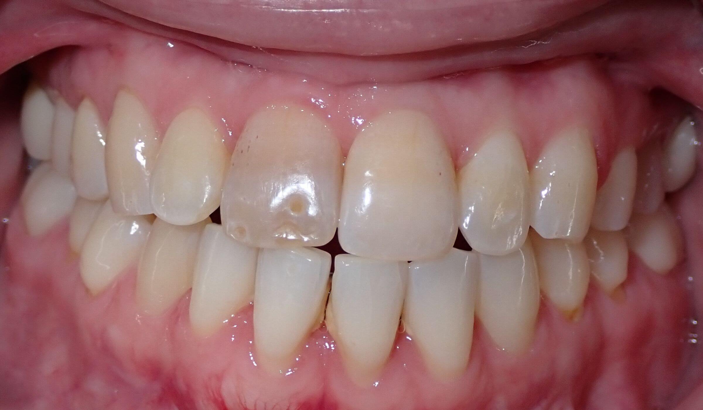
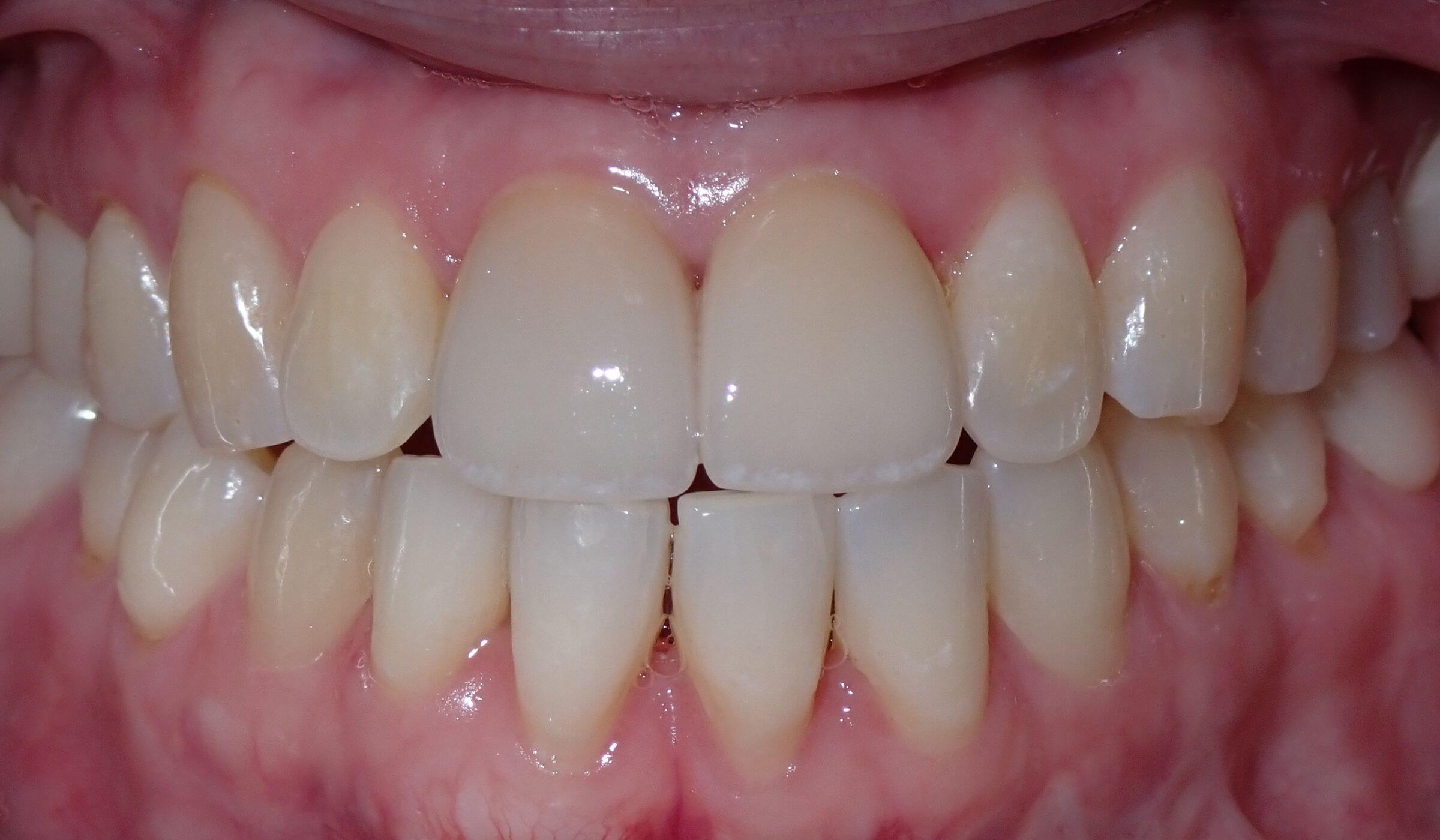
Cosmetic Transformations Of Real Patients
See what’s possible when artistry meets advanced technology and expertise. Browse our smile gallery to see how cosmetic dentistry has transformed real smiles in Fargo, Moorhead, West Fargo, and beyond.
CONTACT US
VIEW TERMS
We respond conversationally to your requests. Text message frequency may vary and message and data rates may apply. Reply Help to receive our contact information and Stop to opt-out at any time. Privacy Policy and SMS Terms and Conditions
Learn More About Healthy Smiles
If you’d like to learn more about how to improve your dental hygiene, please contact us. We would be happy to answer any questions you may have. Call our Fargo dentist office today to schedule a general dentistry appointment. We serve patients from all over the West Fargo and Moorhead areas.



