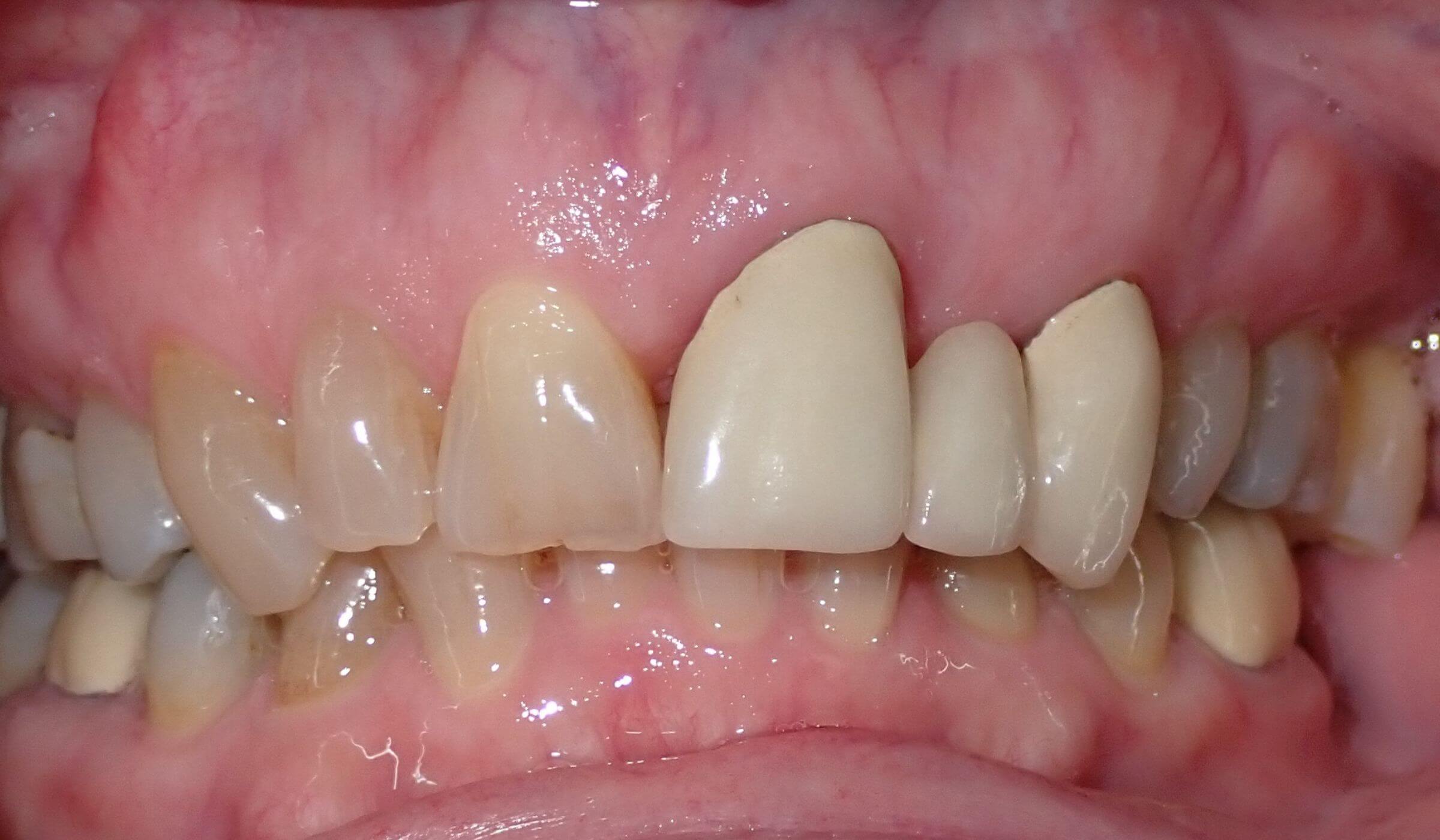
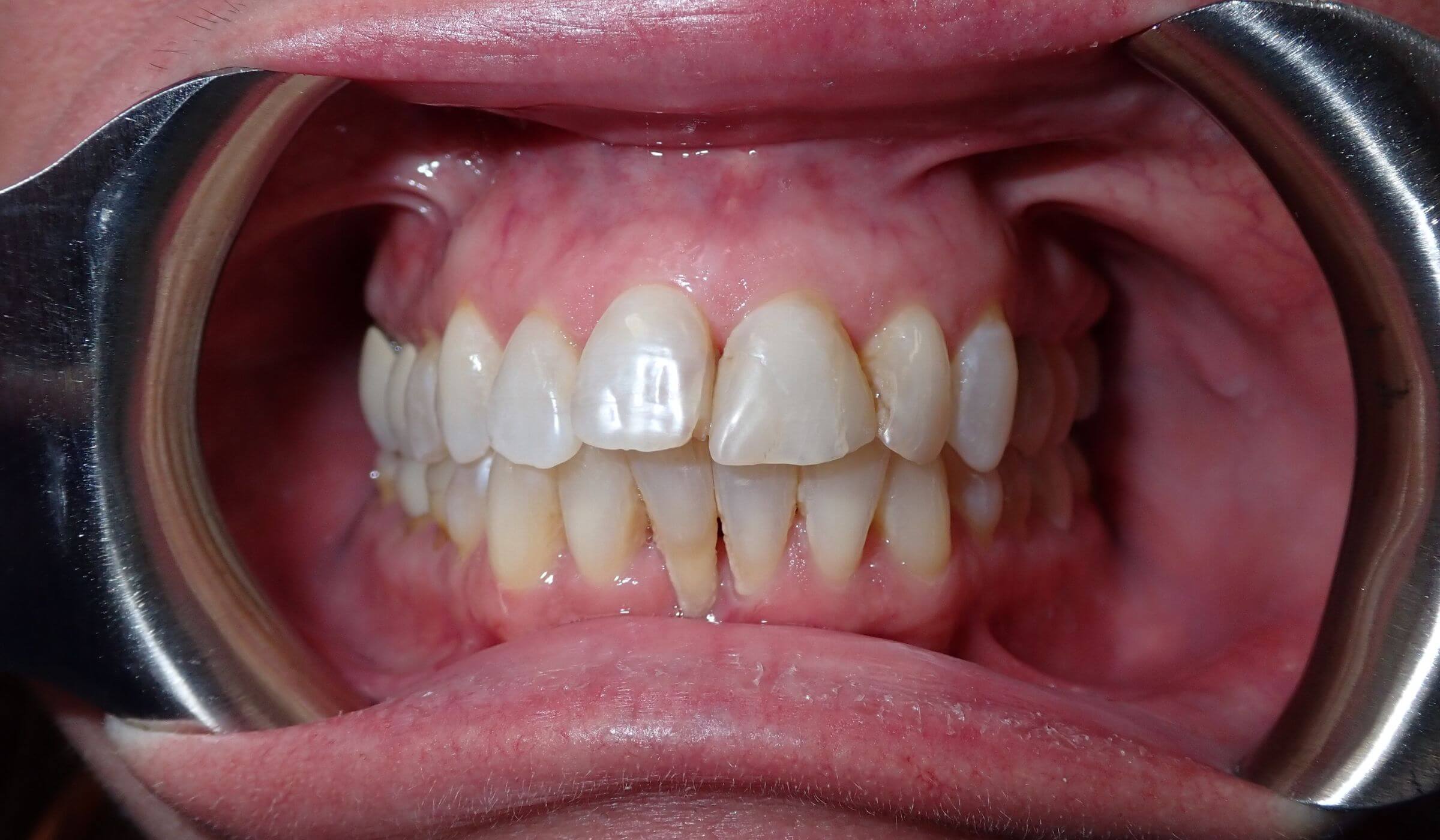
SMILE GALLERY
At Designer Smiles, Dr. Jeff Harrie and his team are passionate about helping patients achieve healthy, confident smiles. Our Smile Gallery showcases real patient transformations — before-and-after results that highlight the power of expert dental care. Whether you’re looking for a small cosmetic enhancement or a complete smile makeover, we’re here to create a treatment plan tailored just for you.
Smile Transformations at Designer Smiles
From professional whitening and veneers to dental implants and full-mouth restorations, we use the latest technology and techniques to deliver natural-looking, long-lasting results. Every smile in this gallery tells a story—one of renewed confidence, better oral health, and a reason to smile even more.
Take a look at our Smile Gallery to see how Dr. Harrie and the team have helped patients achieve life-changing results! If you have questions or want to inquire about a consultation please contact us!




CONTACT US
VIEW TERMS
We respond conversationally to your requests. Text message frequency may vary and message and data rates may apply. Reply Help to receive our contact information and Stop to opt-out at any time. Privacy Policy and SMS Terms and Conditions
Experience Designer Smiles For Yourself